خیلی توضیحات کامل و مفیدی بود. یک سؤال ذهنم رو درگیر کرده؛ آیا جرمگیری با لیزر میتونه جایگزین کامل روشهای سنتی بشه یا فقط در شرایط خاص پیشنهاد میشه؟

اگر هر ۶ ماه یکبار برای جرم گیری دندان به مرکز معتبری مثل دندانپزشکی اندرزگو مراجعه کنید، میتوانید سلامت لثه و دندان را حفظ کرده و از هزینههای سنگین در آینده جلوگیری کنید.
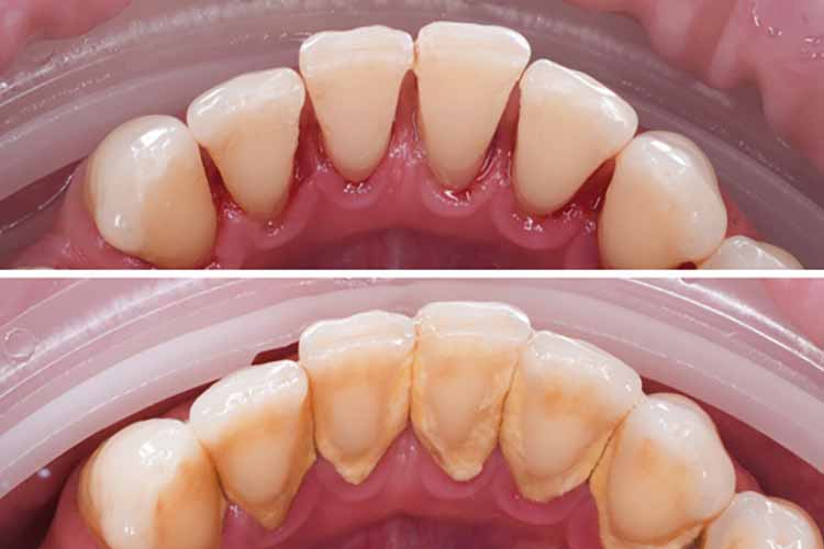
جرم گیری روشی تخصصی در دندانپزشکی است که برای پاکسازی عمقی دندان و لثه طراحی شده است. برخلاف تمیزکاریهای معمول که تنها سطح دندان را پوشش میدهند، این فرایند نواحی زیر خط لثه را هم شامل میشود. در این روش، دندانپزشک یا متخصص لثه، با استفاده از ابزارهای حرفهای، لایههای سختشدهای به نام تارتار یا کلکولوس را که از طریق مسواکزدن حذف نمیشوند، از بین میبرد.
هدف از این اقدام، درمان و پیشگیری از التهاب لثه و بیماریهای پریودنتال است. برخلاف روشهای سطحی که تنها پلاکهای نرم را حذف میکنند، جرم گیری دندان شامل برداشتن رسوبات آهکی مقاوم و صیقلیکردن سطح ریشه است تا لثهها بتوانند بهتر به دندان متصل شوند.
یکی از تفاوتهای کلیدی دیگر، استفاده از بیحسی موضعی در جرمگیری عمقی است، در حالیکه تمیزکاریهای سطحی معمولا بدون بیحسی انجام میشوند. بهویژه زمانی که پاکتهای لثه عمیق شده باشند، تنها جرمگیری تخصصی میتواند از تحلیل استخوان فک جلوگیری کند.
پلاک دندانی بهعنوان یک لایه بیرنگ از باکتریها، تنها چند ساعت پس از مسواک زدن روی دندانها شکل میگیرد. اگر این لایه بهموقع با مسواک و نخدندان پاک نشود، با مواد معدنی موجود در بزاق ترکیب شده و به تارتار تبدیل میشود؛ مادهای سخت و زبر که محیط مناسبی برای رشد باکتریهای بیماریزا فراهم میکند.
تجمع این رسوبات روی دندان و زیر لثه موجب التهاب، خونریزی و بیماریهایی نظیر ژنژیویت و پریودنتیت میشود. این عوارض، در صورت درماننشدن، منجر به تحلیل استخوان و لق شدن دندانها خواهند شد. به همین دلیل، جرم گیری دندان یک اقدام اساسی برای حفظ سلامت لثهها و دندانها به شمار میرود.
از آنجا که تارتار با مسواک پاک نمیشود، تنها راهکار حذف آن مراجعه به دندانپزشک و انجام جرمگیری حرفهای است. این وضعیت حتی میتواند باعث تغییر رنگ دندانها شود و نیاز به خدمات سفید کردن دندان را افزایش دهد؛ خدماتی که هزینه بلیچینگ نسبتا بالایی دارد.

با توسعه فناوریهای دندانپزشکی، روشهای جرم گیری نیز متنوعتر شدهاند. نوع روش انتخابی، بستگی به میزان رسوبات، وضعیت لثه و حساسیت دندان دارد. در صورتی که با تغییر رنگ شدید دندان مواجه هستید، ترکیب جرمگیری و سفید کردن دندان میتواند گزینهای موثر باشد. در ادامه، رایجترین تکنیکهای موجود را میبینید:
در برخی موارد، پس از جرم گیری دندان و تشخیص پوسیدگی یا تحلیل ساختار، نیاز به درمانهای تکمیلی مثل روکشگذاری مطرح میشود؛ در این شرایط آگاهی از هزینههای جانبی مانند قیمت روکش دندان زیرکونیا میتواند به تصمیمگیری دقیقتر بیمار کمک کند.
در روش دستی، دندانپزشک از ابزارهایی به نام اسکیلر (Scaler) استفاده میکند که بهصورت دستی، جرم و تارتار را از نواحی مختلف دندان و لثه میتراشند. این روش به مهارت بالای پزشک نیاز دارد و معمولا برای نواحی حساس یا نزدیک به ایمپلنتها توصیه میشود. با اینکه جرم گیری دستی نسبت به روشهای جدیدتر زمانبرتر است، اما هنوز در کلینیکهای معتبر از جمله دندانپزشکی اندرزگو در موارد خاص کاربرد دارد و گاهی بهعنوان مکمل روشهای مدرن استفاده میشود.
دستگاه اولتراسونیک با ارتعاشات فرکانس بالا، تارتارها را شکسته و با پاشش آب از دهان خارج میکند. این روش بسیار سریع، کمخطر و موثر است و در مقایسه با روشهای دستی، آسیب کمتری به مینای دندان وارد میکند. مزیت مهم دیگر آن، کاهش خونریزی و ناراحتی بعد از جرم گیری دندان است. این موضوع برای بیمارانی که دارای روکش دندان زیرکونیا هستند یا ایمپلنت دارند، اهمیت زیادی دارد زیرا کاهش آسیب به ساختار دندان برای این گروه ضروری است.
در سال ۱۴۰۴، استفاده از تکنولوژی لیزر در دندانپزشکی افزایش یافته است. در روش جرم گیری لیزری، از پرتوهای متمرکز برای حذف دقیق رسوبات استفاده میشود که این کار بدون درد و با کمترین میزان خونریزی انجام میگیرد.
مزیت دیگر این روش، تحریک بازسازی بافت لثه و کاهش چشمگیر زمان بهبودی است. بیمارانی که از التهاب شدید یا حساسیت دندانی رنج میبرند، میتوانند از نتایج بهتر این تکنیک بهرهمند شوند. با اینحال، هزینه جرمگیری لیزری بالاتر از روشهای سنتی است و نیاز به مشاوره با دندانپزشک دارد.

آشنایی با مراحل جرم گیری دندان، کمک میکند تا بیمار با آمادگی بیشتری به درمان مراجعه کند. در ادامه، مراحل این فرایند به ترتیب بیان شدهاند:
پس از اتمام این مراحل، ممکن است دندانها تا چند روز حساس باشند. رعایت بهداشت مناسب و مراجعات منظم به بهترین دندانپزشکی زیبایی، از بازگشت مشکلات جلوگیری میکند.
پیش از شروع جرمگیری، بررسی کامل وضعیت دهان توسط پزشک انجام میشود. این معاینه شامل سنجش عمق پاکتهای لثه، ارزیابی سلامت عمومی لثهها و تشخیص نیاز به بیحسی است. اگر بیمار سابقه درمانهایی مثل لمینت یا کامپوزیت ونیر داشته باشد، پزشک با دقت بیشتری معاینه را انجام میدهد تا سطح روکشها آسیب نبیند.
در مرحله نهایی، سطح دندانها با استفاده از خمیر پولیش و ابزار چرخان صیقلی میشود تا از چسبیدن مجدد پلاکها جلوگیری شود. سپس دهان با محلولهای ضدباکتری شستوشو داده شده و در صورت نیاز، فلوراید برای تقویت مینای دندان استفاده میشود. در برخی موارد نیز آنتیبیوتیک تجویز میشود تا خطر عفونت کاهش یابد. همچنین بیمار باید برای کاهش حساسیت، از خوردن غذاهای خیلی داغ یا سرد در چند روز اول خودداری کند.
جرم گیری دندان از روشهای رایج و موثر برای حفظ سلامت دهان و پیشگیری از بیماریهای لثه به شمار میرود. با این حال، این درمان نیز مانند سایر روشهای تخصصی، مزایا و معایب خود را دارد. در ادامه به بررسی نکات مثبت و منفی آن میپردازیم:
نگرانی درباره درد، آسیب یا تحلیل لثه پس از جرم گیری دندان در میان برخی بیماران شایع است. با این حال، اگر این درمان بهدرستی و توسط متخصص انجام شود، به بافتهای سالم دهان آسیبی وارد نمیشود. در مواردی که التهاب شدید یا رسوبات سفت در دهان وجود داشته باشد، ممکن است بیمار در حین یا بعد از درمان مقداری ناراحتی یا درد خفیف احساس کند.
یکی از باورهای رایج، ارتباط مستقیم بین جرمگیری و تحلیل لثه است. این تصور اشتباه است؛ زیرا تحلیل لثه معمولا نتیجه بیماریهای پیشرفته لثه و تجمع طولانیمدت جرم است. زمانیکه جرمها حذف میشوند، شکل طبیعی لثه نمایان میشود و ممکن است به اشتباه تصور شود که تحلیل لثه اتفاق افتاده است.
پس از جرم گیری دندان، برخی افراد ممکن است نسبت به نوشیدنیها یا غذاهای گرم و سرد حساس شوند. این وضعیت کاملا طبیعی است و اغلب در مدت کوتاهی برطرف میشود. زمانیکه رسوبات ضخیم دندانی برداشته میشود، نواحی ریشه که پیش از این در تماس با محیط نبودند، بهطور موقت تحریکپذیر میشوند.
برای کاهش این حساسیت، استفاده از خمیر دندان مخصوص دندانهای حساس توصیه میشود. همچنین پرهیز از غذاهای تحریککننده و مراجعه به دندانپزشک در صورت ادامه حساسیت نیز ضروری است. در برخی موارد، پزشک ممکن است از فلوراید موضعی برای تقویت مینای دندان استفاده کند.
تصور اشتباه بسیاری از افراد این است که جرم گیری موجب تحلیل لثه میشود. این تصور واقعیت ندارد. تحلیل لثه معمولا در اثر عدم درمان بهموقع بیماریهای لثه و باقی ماندن طولانیمدت تارتار روی دندانها ایجاد میشود. پس از حذف این رسوبات، لثه به جایگاه واقعی خود بازمیگردد و ممکن است شکلی متفاوت نسبت به قبل پیدا کند.
زمانیکه تارتار برای مدت طولانی روی دندانها باقی بماند، لثه عقبنشینی میکند و فضای بین دندانها نمایانتر میشود. به همین دلیل، جرم گیری دندان نهتنها باعث تحلیل نمیشود، بلکه از پیشرفت آن جلوگیری میکند.

برای حفظ نتایج درمان و جلوگیری از تجمع مجدد پلاک، رعایت مراقبتهای بعد از جرم گیری بسیار مهم است. بیتوجهی به بهداشت دهان میتواند در مدت کوتاه، موجب بازگشت پلاکها و تکرار مشکلات لثه شود. در این بخش به نکات موثر مراقبتی میپردازیم.
برای جلوگیری از بازگشت پلاک پس از جرم گیری دندان، رعایت چند عادت ساده خانگی ضروری است. استفاده منظم از مسواک نرم، خمیر دندان حاوی فلوراید، نخ دندان و دهانشویه ضد باکتری توصیه میشود. مسواک زدن باید دستکم دو بار در روز انجام شود و استفاده از نخ دندان نیز حداقل یکبار در روز ضروری است. همچنین، مراجعه منظم هر شش ماه یکبار به دندانپزشکی اندرزگو یا سایر مراکز تخصصی میتواند به حفظ نتایج درمان کمک کند.
در روزهای ابتدایی پس از جرم گیری، لثهها هنوز در حال ترمیم هستند و نیاز به مراقبت دارند. برای کاهش التهاب و حساسیت، بهتر است دهان را با آب نمک ولرم شستوشو دهید و از مصرف سیگار یا غذاهای محرک پرهیز کنید.
همچنین توصیه میشود از مسواکهای نرم استفاده کنید و در حین مسواک زدن، فشار زیادی به ناحیه لثه وارد نکنید. اگر درد خفیف یا خونریزی وجود داشته باشد، معمولا نیاز به درمان خاصی نیست؛ مگر آنکه علائم بیش از چند روز ادامه یابد.
برای کاهش تحریک لثه و جلوگیری از حساسیت بیشتر، بهتر است در چند روز اول پس از جرم گیری دندان از مصرف این خوراکیها پرهیز شود:
جرم گیری دندان در ظاهر عملی ساده است، اما برای سلامت لثه و زیبایی دندانها بسیار مهم است. این درمان نهتنها جرمهای قابلمشاهده را حذف میکند، بلکه از پیشرفت بیماریهای لثه جلوگیری میکند. البته اگر بهدرستی انجام نشود، ممکن است باعث تحلیل لثه یا حساسیت کوتاهمدت شود.
خیلی توضیحات کامل و مفیدی بود. یک سؤال ذهنم رو درگیر کرده؛ آیا جرمگیری با لیزر میتونه جایگزین کامل روشهای سنتی بشه یا فقط در شرایط خاص پیشنهاد میشه؟
خوشحالیم که مقاله براتون مفید بوده. جرمگیری لیزری در سالهای اخیر پیشرفت چشمگیری داشته و برای خیلی از بیماران گزینهای عالی محسوب میشه، مخصوصاً افرادی که التهاب لثه یا حساسیت شدید دارن. با این حال، جایگزین کامل روشهای دستی یا اولتراسونیک نیست؛ چون انتخاب روش به میزان رسوبات، وضعیت لثه و شرایط عمومی بیمار بستگی داره. در بعضی موارد هم ترکیب چند روش بهترین نتیجه رو میده.
 
ارسال نظر شما
مجموع نظرات : 2 در انتظار بررسی : 0 انتشار یافته : 2